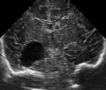
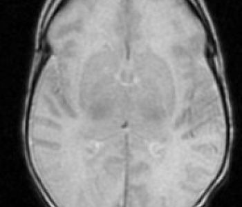
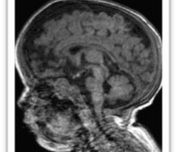
Caso 17
Recién nacido de 35+3 semanas, segundo gemelo de una gestación bicorial-biamniótica que desarrolla en el período fetal un cuadro de crecimiento intrauterino retardado y prenatalmente se detecta una comunicación interventricular, una arteria subclavia derecha aberrante, una arteria umbilical única y una agenesia de ductus venoso.