Skip to main content

Caso 2

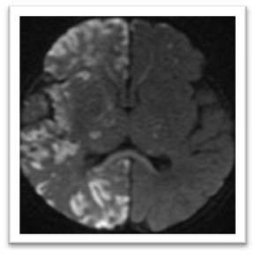
Primera gestación de madre sana, sin otros antecedentes de interés. Parto eutócico a las 39 semanas. Nace recién nacido con T. Apgar al minuto de 9 y a los 5 minutos de 10. A las 30h de vida realiza convulsiones tónicas de extremidades superiores. Destacaban la presencia de lesiones hipopigmentadas en extremidades inferiores distribuidas siguiendo las líneas de Blaschko. Se realiza RM cerebral a los 7 días (Figura 1 A y B).

  1. Infarto cerebral arterial isquémico de territorio arterial de ACM derecha.
  2. Infarto cerebral arterial hemorrágico territorio arterial de ACM derecha.
  3. Lesión arterial isquémica multiterritorial cortico-subcortical derecha.
  4. Ninguna de las respuestas anteriores es correcta.

La respuesta correcta es la 3. Lesión arterial isquémica multiterritorial cortico-subcortical derecha.

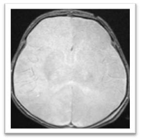
En el corte axial en DWI se aprecian lesiones isquémicas fragmentadas multi-territoriales cortico-subcorticales (como refiere la literatura) con predominio en nuestro caso en hemisferio derecho, afectando a los territorios tributarios de la arteria cerebral anterior, media y posterior. También se aprecian pequeñas lesiones isquémicas lacunares en ambos tálamos e hiperintensidad de señal en el esplenio del cuerpo calloso (probable degeneración pre-Walleriana). El estudio angio-TOF no mostró hallazgos significativos y la secuencia eco de gradiente (GRE) no mostró lesiones hipointensas que sugiriesen un origen hemorrágico.

Las lesiones hipopigmentadas en extremidades siguiendo las líneas de Blaschko hacían sospechar la posibilidad diagnóstica de lncontinentia Pigmenti. Esta es una entidad poco frecuente (prevalencia de 1/50.000 recién nacidos vivos) que afecta casi exclusivamente al género femenino (herencia ligada al cromosoma X), al ser letal en los varones, aunque se han descrito algunos casos con mosaicismo en el gen IKBKG o con cariotipo 47XXY. Se debe a una mutación en el gen IKBKG (antes conocido como NEMO) localizado en el locus Xq28. Este gen codifica para una proteína, NFkB essential modulator; un regulador de genes involucrados en el control de los fenómenos inflamatorios, del sistema inmune y de la apoptosis. Se ha sugerido que en los pacientes que presenten convulsiones refractarias al tratamiento antiepiléptico, se podría añadir un tratamiento antiinflamatorio con corticoides como prednisolona. Más del 30% de los pacientes presentarán: trastornos cognitivos, convulsiones, espasticidad y microcefalia progresiva postnatal. También requerirán seguimiento oftalmológico, ya que pueden desarrollar uveítis, cataratas subcapsulares, manchas corneales, atrofia óptica, microftalmia, displasia retiniana, persistencia de vítreo hiperplásico y neovascularización de la retina. También pueden presentar: alteraciones en el pelo (zonas de hipo o hiperpigmentación del pelo, áreas de alopecia cicatricial), las uñas (distrofia ungueal u hoyuelos en las uñas) y los dientes (retraso en la dentición, hipodoncia, displasia dental, dientes cónicos y malposición de los mismos).

La lesión arterial isquémica multiterritorial del paciente presentado ha sido descrita en esta entidad neurocutánea y aunque su patogénesis es desconocida, podría reponder a una arteriopatía inflamatoria.

Figura 1A. RM cerebral. Corte axial en DWI.

Figura 1B. Corte axial en GRE.