Caso 3
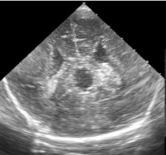
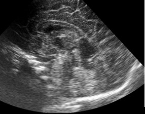
Nace recién nacido de 34 semanas de edad gestacional (EG) con un peso adecuado. A las 31 semanas de EG se observa en la ultrasonografía prenatal una disgenesia de cuerpo calloso asociada a pies equinovaros bilaterales, se realiza RM fetal que confirma la disgenesia con escaso desarrollo de la parte posterior y descarta otras anomalías a nivel intracraneal, el estudio Array-CHG fue normal y se descartaron infecciones en liquido amniótico. El estudio genético mostró un cariotipo 46 XY. El parto fue eutócico. La prueba de Apgar: 9/10/10. pH arteria umbilical: 7,27. No requirió reanimación. En la USC postnatal, se aprecia ( Figuras 1A y 1B).
- Cavum del septum pellucidum,
- Cavum vergae
- Cavum velum interpositum.
- Ninguna de las respuestas anteriores es correcta.
La respuesta correcta es la 3: Cavum velum interpositum (CVI)
La sección coronal y parasagital media de la USC muestran un cavum velum interporsitum (CVI) de gran tamaño que en la época fetal dificultó visualizar la parte más posterior del CC (esplenio). La asociación de disgenesia de CC y la deformidad extrínseca (pies equinovaros) que presentaba nuestro paciente dio pié a realizar un estudio genético prenatal por la posible asociación con un síndrome polimalformativo.
El Velum Interpositum es una invaginación de la piamadre (tela coroidea) ubicado entre el fórnix por arriba y el techo del tercer ventrículo y tálamo por debajo, creando una cisterna que contiene la vena cerebral media y la arteria coroidea medial posterior. Se extiende anteriormente hasta el foramen de Monro, posteriormente se comunica con la cisterna cuadrigeminal y el ala lateral de la cisterna ambiens; y lateralmente con los plexos coroideos de los ventrículos laterales. La etiología es desconocida y usualmente no se asocia a otras anomalías. Es común en su hallazgo en menores de 18 meses, y raro en adultos. Suelen involucionar con el tiempo y no suelen tener repercusión en el neurodesarrollo ulterior del recién nacido pero los quistes de CVI de gran tamaño se han relacionado con retraso cognitivo en la infancia por lo que estos niños requieren un seguimiento neurológico. Se debe establecer el diagnóstico diferencial por su localización con la malformación aneurismática de la Vena de Galeno, que también está localizada en la línea media, en la placa de la cisterna cuadrigeminal. El flujo persistente a través de la conexión impide la involución esperada de esta vena embrionaria e impide el desarrollo de la vena de Galeno. Para establecer el diagnóstico diferencial con CVI se debre aplicar el eco-Doppler a la hora de hacer la ecografía postnatal.

Figura 1A US. Corte coronal

Figura 1B US. Corte parasagital