La respuesta correcta es la 4.

Infarto cerebral arterial isquémico derecho y lesión cutánea asociada.

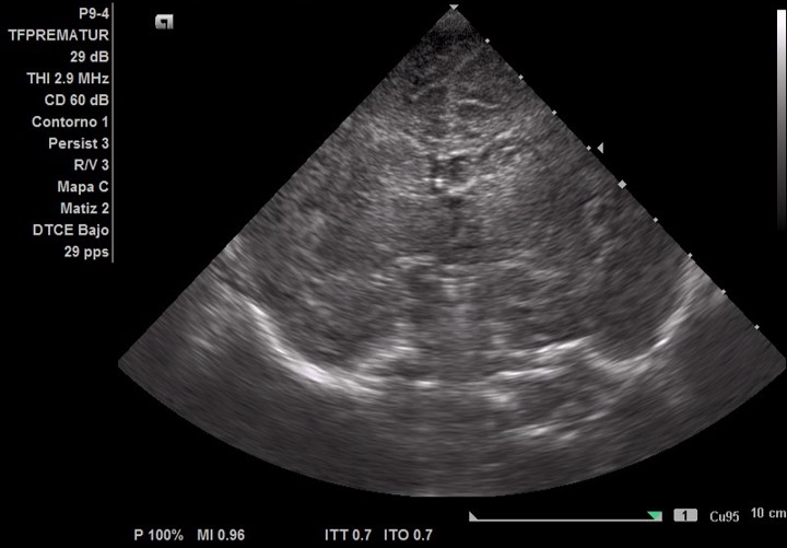
En el corte coronal de la primera ecografía cerebral ( Figura 1B) difícilmente se aprecia un área hiperintensa en territorio de la arteria cerebral media derecha en cambio en la ecografía cerebral realizada a los 4 días se aprecia claramente ( Figura 1C) debido al aumento de la sensibilidad diagnóstica de lesiones isquémicas que ofrece la ecografía a medida que pasan los días. Por ello es importante realizar ecografías secuenciales ante la sospecha clínica de infarto cerebral arterial neonatal.

En el estudio de resonancia cerebral a las 48h de vida se aprecia en la secuencia de DWI en el corte axial (imagen de abajo) un infarto arterial de todo el hemisferio cerebral izquierdo, y de todo el territorio de la arteria cerebral media derecha. Se trata de un infarto inmenso bilateral que por ecografía no era tan evidente, de ahí la importancia de solicitar precozmente una RM cerebral con secuencias de difusión que nos permitan un diagnóstico precoz para precisar mejor el pronóstico neurológico y aconsejar a los padres una rehabilitación temprana.

Nuestro paciente presenta un elevado riesgo de discapacidad motora, afectación visual, cognitiva y del lenguaje. También en su infancia puede presentar epilepsia por lo que deberá ser evaluado y seguido por un neurólogo pediátrico.

La lesión en extremidad superior izquierda ( Figura 1A) puede estar asociada al infarto cerebral, es el llamado síndrome de Volkmann, es una condición peculiar, relacionada con mecanismos de hipoperfusión que se suceden en el periodo pre-perinatal. El espectro de la lesión puede ser muy amplio desde una lesión focal a una extremidad gangrenada, desde curas locales o fasciotomia. Puede afectar a los músculos flexores o extensores o ambos asociado a perdida de dedos y manos. Nuestro paciente requirió un tratamiento precoz de las heridas mediante presión negativa de un solo pulso, aplicando el método de vacío consiguiendo en tres meses la resolución del cuadro y una adecuada movilidad de la extremidad y de los dedos de la mano. También es aconsejable realizar una ecografía cerebral a los pacientes asintomáticos que presentan este tipo de lesiones ya que de forma casual se puede hallar un infarto cerebral.