Skip to main content

Caso 24

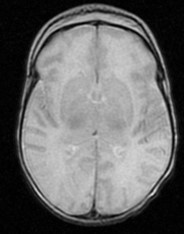
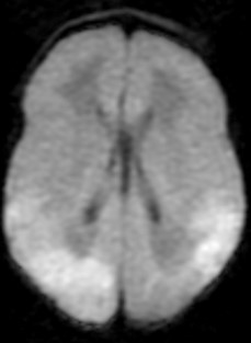
Segunda gestación gemelar de una madre sana de 40 años. Parto mediante cesárea electiva por cesárea previa a las 38 semanas de gestación. Nace segundo gemelo con prueba de Apgar 9/10/10; pHau:7.25. Peso de nacimiento: 3215g (p63), longitud: 49,5cm (p70) y perímetro cefálico: 34cm (p67). A las 60 horas de vida presenta empeoramiento clínico con alteración del estado de conciencia progresivo con mala coloración cutánea y alargamiento del tiempo de recapilarización. Presenta hipoglucemias mantenidas e inicia un estado epiléptico refractario al tratamiento con un pico febril al 7º día de vida. Se realiza RM cerebral ( Figura 1A, 1B) a las 39 semanas de EPM.

  1. RM cerebral compatible con infección vírica
  2. RM cerebral compatible con daño por hipoglucemia mantenidas
  3. Ninguna de las anteriores respuestas es correcta
  4. Todas las respuestas son correctas

Respuesta correcta: 4. Todas las respuestas son posibles: Posible infección vírica y daño cerebral por hipoglucemias mantenidas.

En nuestro caso, el estudio virológico de LCR fue positivo para Parainfluenzae tipo 2, se orientó como una meningoencefalitis, dada la alteración del estado de conciencia del paciente, la pleocitosis en LCR ( 238mg/dl de glucosa, 90 mg/dl de proteínas, 100 células (75% linfocitos) y las crisis eléctricas asociadas con un trazado hipovoltado.

En la Figura 1A, se aprecia una pérdida de diferenciación entre córtex y substancia blanca, compatible con edema cerebral difuso, y en la Figura 1B se aprecia una disminución de la difusividad a nivel del córtex occipital derecho y parietal bilateral. Además nuestro paciente presentó hipoglucemias mantenidas los primeros días de vida que podrían explicar la lesión occipito- parietal hallada en la RM. Nuestro paciente fue exitus a los 9 días de vida por una enterocolitis fulminante.

Los virus parainfluenza son paramixovirus y se clasifican en tipos 1, 2, 3 y 4.  Nuestro paciente presentaba una infección de LCR por el tipo 2, suelen provocar formas leves de crup a diferencia del tipo 3, pero en nuestro caso provocó un cuadro neurológico grave. El cultivo de nasofaríngeo de la madre fue positivo para el virus, y fue negativo en el hermano gemelo.

Otros virus pueden provocar lesiones de sustancia blanca como en Enterovirus, Parechovirus, Rotavirus…

Figura 1A. RM cerebral. Corte axial-T2-WI  

Figura 1B. RM cerebral . Corte axial-DWI.