Skip to main content

Caso 21

Segunda gestación de una madre sana de 32 años de edad. Como antecedentes familiares destaca un hermano mayor (hijo de padre diferente, con consanguineidad) afecto de miopatía nemalínica, fallecido a los 4 años de vida.

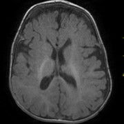
En las ecografías fetales destacaba un CIR tipo I y la presencia de una ventriculomegalia derecha. Las serologías maternas (VIH; VHB; VHC; lúes, toxoplasma)  fueron negativas y rubéola inmune. El parto fue mediante cesárea urgente por estado fetal no tranquilizador a las 34+5 semanas, tras presentación cefálica. Nació con un peso de 1680 g(p4;-1.8DE), longitud 42 (p4;-1.8DE) cm y perímetro craneal 28,5 cm(p4;-2.04DE).  Prueba de Apgar: 6 y 8 al minuto y cinco minutos de vida, respectivamente con un pHau de 7,22. Destaca en el examen neurológico una hipotonía central y llanto agudo. Examen dismorfológico ( Fig. 1A y B) y RM cerebral ( Fig 1C).

  1. Miopatía nemalínica
  2. Síndrome de Cri-Du-Chat.
  3. Síndrome de SHORT
  4. Ninguna de las anteriores es correcta.

Respuesta correcta: 2. Síndrome de Cri- Du-Chat o síndrome 5p o síndrome maullido de gato

Nuestra paciente presenta una cara plana y redondeada,  hipertelorismo, micro-retrognatia y exotropia izquierda. En la RM  se aprecia un adelgazamiento importante del CC y una prominencia llamativa del espacio extraxial. A la exploración destaca una marcada hipotonía y déficit de atención, seguimiento visual y sonoro. Todo ello asociado a una marcada microcefalia, talla baja, con un llanto con un tono particularmente elevado. Destacaba un marcado reflujo gastroesofágico y dificultades en la alimentación, y finalmente requirió un botón gástrico.

La paciente no presentaba una hipotonía periférica y tampoco rasgos propios del síndrome de SHORT como un rostro triangular, frente prominente, depresión ocular, alas nasales hipoplásicas, columela de implantación baja, comisuras de la boca descendentes, micrognatia y orejas prominentes.

Ante los rasgos dismorfológicos se solicitó un cariotipo en sangre periférica con un resultado positivo para el síndrome de cri-du-chat: 46XX, del (5) (p13).

El síndrome de Cri du Chat, es un desorden cromosómico producido por una delección al final del brazo corto del cromosoma 5 (síndrome 5p- o síndrome 5p menos). Afecta a uno de entre cada 20.000 a 50.000 recién nacidos y se caracteriza porque el llanto de estos bebés con un tono más agudo de lo normal, asemejándose al maullido del gato, de ahí su nombre. Las personas afectadas se caracterizan por presentar deficiencia mental y retraso en el desarrollo, microcefalia, hipertelorismo, mandíbula pequeña y son pequeños en estatura. Estos niños se benefician si se hace una estimulación temprana de sus habilidades intelectuales. Requieren un tratamiento multidisciplinar para evaluar las dificultades que presente y elaborar planes de intervención que potencien al máximo sus capacidades.

Respecto a su infancia y adolescencia, la microcefalia es más llamativa en los dos primeros años de edad, la cara en luna llena desaparece en la adolescencia y adultez para dar paso a una facies alargada y estrecha. En numerosos estudios se han registrado alteraciones sensoriales visuales y auditivas. Las más frecuentes son la hipersensibilidad a los sonidos, discomfort auditivo y estrabismo. De forma menos habitual encontramos sordera y pérdida de audición a frecuencias altas, miopía, y catarata. Pueden presentar escoliosis progresiva. Es posible la existencia de ciertas anomalías metabólicas como hiperglicemia no cetónica y déficit en el sistema de purina (que interviene en el desarrollo del cerebro). En todos los casos, el lenguaje receptivo y la comprensión son notablemente superiores al lenguaje expresivo.

La tasa de supervivencia y la esperanza de vida son altas, habiéndose registrado casos de individuos que superan los 50 años de edad.

Figura 1A y 1B. Frente y perfil de la cara de la paciente al mes de vida.

  Figura 1C. RM cerebral. Corte axial-T2-WI.